Description:Rabbit polyclonal antibody to PER1Immunogen:Recombinant fusion protein of human PER1. The exact sequence is proprietary.Purification:The antibody was purified by immunogen affinity chromatography.Clonality:PolyclonalForm:Liquid in 0.42% Potassium phosphate, 0.87% Sodium chloride, pH 7.3, 30% glycerol, and 0.01% sodium azide.Dilution:WB (1/500 - 1/2000), IH (1/50 - 1/200), IF/IC (1/50 - 1/200)Gene Symbol:PER1Alternative Names:KIAA0482; PER; RIGUI; Period circadian protein homolog 1; hPER1; Circadian clock protein PERIOD 1; Circadian pacemaker protein Rigui
Entrez Gene (Human):
5187;
Entrez Gene (Mouse):
18626;
Entrez Gene (Rat):
287422;
SwissProt (Human):
O15534;
SwissProt (Mouse):
O35973;
SwissProt (Rat):
Q8CHI5;
Storage/Stability:Shipped at 4°C. Upon delivery aliquot and store at -20°C for one year. Avoid freeze/thaw cycles.
-
Western blot analysis of PER1 expression in A549 (A), mouse testis (B), rat brain (C) whole cell lysates. (Predicted band size: 91; 136 kD; Observed band size: 136 kD) -
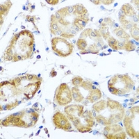
Immunohistochemical analysis of PER1 staining in human stomach formalin fixed paraffin embedded tissue section. The section was pre-treated using heat mediated antigen retrieval with sodium citrate buffer (pH 6.0). The section was then incubated with the antibody at room temperature and detected using an HRP conjugated compact polymer system. DAB was used as the chromogen. The section was then counterstained with haematoxylin and mounted with DPX. -
Immunofluorescent analysis of PER1 staining in U2OS cells. Formalin-fixed cells were permeabilized with 0.1% Triton X-100 in TBS for 5-10 minutes and blocked with 3% BSA-PBS for 30 minutes at room temperature. Cells were probed with the primary antibody in 3% BSA-PBS and incubated overnight at 4 °C in a hidified chamber. Cells were washed with PBST and incubated with a Alexa Fluor 488-conjugated secondary antibody (green) in PBS at room temperature in the dark.


Datasheet
MSDS