Description:Rabbit polyclonal antibody to PDXPImmunogen:Recombinant fusion protein of human PDXP. The exact sequence is proprietary.Purification:The antibody was purified by immunogen affinity chromatography.Clonality:PolyclonalForm:Liquid in 0.42% Potassium phosphate, 0.87% Sodium chloride, pH 7.3, 30% glycerol, and 0.01% sodium azide.Dilution:WB (1/500 - 1/2000), IH (1/50 - 1/200), IF/IC (1/50 - 1/200)Gene Symbol:PDXPAlternative Names:CIN; PLP; PLPP; Pyridoxal phosphate phosphatase; PLP phosphatase; Chronophin
Entrez Gene (Human):
57026;
Entrez Gene (Mouse):
57028;
SwissProt (Human):
Q96GD0;
SwissProt (Mouse):
P60487;
SwissProt (Rat):
Q8VD52;
Storage/Stability:Shipped at 4°C. Upon delivery aliquot and store at -20°C for one year. Avoid freeze/thaw cycles.
-
Western blot analysis of PDXP expression in A549 (A), mouse brain (B), rat brain (C) whole cell lysates. (Predicted band size: 32 kD; Observed band size: 32 kD) -
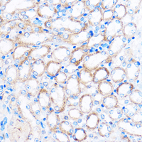
Immunohistochemical analysis of PDXP staining in mouse kidney formalin fixed paraffin embedded tissue section. The section was pre-treated using heat mediated antigen retrieval with sodium citrate buffer (pH 6.0). The section was then incubated with the antibody at room temperature and detected using an HRP conjugated compact polymer system. DAB was used as the chromogen. The section was then counterstained with haematoxylin and mounted with DPX. -
Immunofluorescent analysis of PDXP staining in L929 cells. Formalin-fixed cells were permeabilized with 0.1% Triton X-100 in TBS for 5-10 minutes and blocked with 3% BSA-PBS for 30 minutes at room temperature. Cells were probed with the primary antibody in 3% BSA-PBS and incubated overnight at 4 °C in a humidified chamber. Cells were washed with PBST and incubated with a AF594-conjugated secondary antibody (red) in PBS at room temperature in the dark. DAPI was used to stain the cell nuclei (blue).


Datasheet
MSDS