Description:Rabbit polyclonal antibody to PDHA2Immunogen:KLH-conjugated synthetic peptide of human PDHA2. The exact sequence is proprietary.Purification:The antibody was purified by immunogen affinity chromatography.Clonality:PolyclonalForm:Liquid in 0.42% Potassium phosphate, 0.87% Sodium chloride, pH 7.3, 30% glycerol, and 0.01% sodium azide.Dilution:WB (1/500 - 1/2000), IF/IC (1/50 - 1/200)Gene Symbol:PDHA2Alternative Names:PDHAL; Pyruvate dehydrogenase E1 component subunit alpha testis-specific form mitochondrial; PDHE1-A type II
Entrez Gene (Human):
5161;
Entrez Gene (Mouse):
18598;
Entrez Gene (Rat):
117098;
SwissProt (Human):
P29803;
SwissProt (Mouse):
P35487;
SwissProt (Rat):
Q06437;
Storage/Stability:Shipped at 4°C. Upon delivery aliquot and store at -20°C for one year. Avoid freeze/thaw cycles.
-
Western blot analysis of PDHA2 expression in HeLa (A), mouse kidney (B), rat brain (C) whole cell lysates. (Predicted band size: 43 kD; Observed band size: 43 kD) -
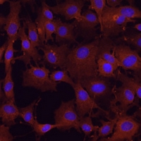
Immunofluorescent analysis of PDHA2 staining in L929 cells. Formalin-fixed cells were permeabilized with 0.1% Triton X-100 in TBS for 5-10 minutes and blocked with 3% BSA-PBS for 30 minutes at room temperature. Cells were probed with the primary antibody in 3% BSA-PBS and incubated overnight at 4 °C in a hidified chamber. Cells were washed with PBST and incubated with a Alexa Fluor 594-conjugated secondary antibody (red) in PBS at room temperature in the dark.


Datasheet
MSDS