Description:Rabbit polyclonal antibody to PDE3AImmunogen:Recombinant fusion protein of human PDE3A. The exact sequence is proprietary.Purification:The antibody was purified by immunogen affinity chromatography.Clonality:PolyclonalForm:Liquid in 0.42% Potassium phosphate, 0.87% Sodium chloride, pH 7.3, 30% glycerol, and 0.01% sodium azide.Dilution:WB (1/500 - 1/2000), IH (1/50 - 1/200), IF/IC (1/50 - 1/200)Gene Symbol:PDE3AAlternative Names:cGMP-inhibited 3' 5'-cyclic phosphodiesterase A; Cyclic GMP-inhibited phosphodiesterase A; CGI-PDE A
Entrez Gene (Human):
5139;
Entrez Gene (Mouse):
54611;
Entrez Gene (Rat):
50678;
SwissProt (Human):
Q14432;
SwissProt (Mouse):
Q9Z0X4;
SwissProt (Rat):
Q62865;
Storage/Stability:Shipped at 4°C. Upon delivery aliquot and store at -20°C for one year. Avoid freeze/thaw cycles.
-
Western blot analysis of PDE3A expression in HepG2 (A), mouse heart (B) whole cell lysates. (Predicted band size: 125 kD; Observed band size: 125 kD) -
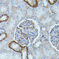
Immunohistochemical analysis of PDE3A staining in rat kidney formalin fixed paraffin embedded tissue section. The section was pre-treated using heat mediated antigen retrieval with sodium citrate buffer (pH 6.0). The section was then incubated with the antibody at room temperature and detected using an HRP conjugated compact polymer system. DAB was used as the chromogen. The section was then counterstained with haematoxylin and mounted with DPX. -
Immunofluorescent analysis of PDE3A staining in HeLa cells. Formalin-fixed cells were permeabilized with 0.1% Triton X-100 in TBS for 5-10 minutes and blocked with 3% BSA-PBS for 30 minutes at room temperature. Cells were probed with the primary antibody in 3% BSA-PBS and incubated overnight at 4 °C in a hidified chamber. Cells were washed with PBST and incubated with a Alexa Fluor 594-conjugated secondary antibody (red) in PBS at room temperature in the dark.


Datasheet
MSDS