Description:Rabbit polyclonal antibody to COX3Immunogen:Recombinant fusion protein of human COX3. The exact sequence is proprietary.Purification:The antibody was purified by immunogen affinity chromatography.Clonality:PolyclonalForm:Liquid in 0.42% Potassium phosphate, 0.87% Sodium chloride, pH 7.3, 30% glycerol, and 0.01% sodium azide.Dilution:WB (1/500 - 1/2000), IH (1/50 - 1/200)Gene Symbol:MT-CO3Alternative Names:COIII; COXIII; MTCO3; Cytochrome c oxidase subunit 3; Cytochrome c oxidase polypeptide III
Entrez Gene (Human):
4514;
Entrez Gene (Mouse):
17710;
Entrez Gene (Rat):
26204;
SwissProt (Human):
P00414;
SwissProt (Mouse):
P00416;
SwissProt (Rat):
P05505;
Storage/Stability:Shipped at 4°C. Upon delivery aliquot and store at -20°C for one year. Avoid freeze/thaw cycles.
-
Western blot analysis of COX3 expression in HEK293T (A), rat liver (B) whole cell lysates. (Predicted band size: 30 kD; Observed band size: 30 kD) -
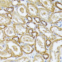
Immunohistochemical analysis of COX3 staining in rat kidney formalin fixed paraffin embedded tissue section. The section was pre-treated using heat mediated antigen retrieval with sodium citrate buffer (pH 6.0). The section was then incubated with the antibody at room temperature and detected using an HRP conjugated compact polymer system. DAB was used as the chromogen. The section was then counterstained with haematoxylin and mounted with DPX.


Datasheet
MSDS