Description:Rabbit polyclonal antibody to MST4Immunogen:Recombinant fusion protein of human MST4. The exact sequence is proprietary.Purification:The antibody was purified by immunogen affinity chromatography.Clonality:PolyclonalForm:Liquid in 0.42% Potassium phosphate, 0.87% Sodium chloride, pH 7.3, 30% glycerol, and 0.01% sodium azide.Dilution:WB (1/500 - 1/2000), IH (1/50 - 1/200)Gene Symbol:MST4Alternative Names:MASK; Serine/threonine-protein kinase MST4; Mammalian STE20-like protein kinase 4; MST-4; Mst3 and SOK1-related kinase; STE20-like kinase MST4; Serine/threonine-protein kinase MASK
Entrez Gene (Human):
51765;
Entrez Gene (Mouse):
70415;
SwissProt (Human):
Q9P289;
SwissProt (Mouse):
Q99JT2;
Storage/Stability:Shipped at 4°C. Upon delivery aliquot and store at -20°C for one year. Avoid freeze/thaw cycles.
-
Western blot analysis of MST4 expression in HeLa (A), mouse spleen (B), mouse lung (C) whole cell lysates. (Predicted band size: 37; 39; 46 kD; Observed band size: 47 kD) -
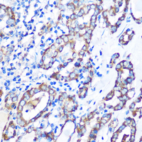
Immunohistochemical analysis of MST4 staining in human thyroid cancer formalin fixed paraffin embedded tissue section. The section was pre-treated using heat mediated antigen retrieval with sodium citrate buffer (pH 6.0). The section was then incubated with the antibody at room temperature and detected using an HRP conjugated compact polymer system. DAB was used as the chromogen. The section was then counterstained with haematoxylin and mounted with DPX.


Datasheet
MSDS