Description:Rabbit polyclonal antibody to MOB4Immunogen:Recombinant fusion protein of human MOB4. The exact sequence is proprietary.Purification:The antibody was purified by immunogen affinity chromatography.Clonality:PolyclonalForm:Liquid in 0.42% Potassium phosphate, 0.87% Sodium chloride, pH 7.3, 30% glycerol, and 0.01% sodium azide.Dilution:WB (1/500 - 1/2000), IH (1/50 - 1/200)Gene Symbol:MOB4Alternative Names:MOB3; MOBKL3; PHOCN; PREI3; MOB-like protein phocein; 2C4D; Class II mMOB1; Mob1 homolog 3; Mob3; Mps one binder kinase activator-like 3; Preimplantation protein 3
Entrez Gene (Human):
25843;
Entrez Gene (Mouse):
19070;
Entrez Gene (Rat):
171050;
SwissProt (Human):
Q9Y3A3;
SwissProt (Mouse):
Q6PEB6;
SwissProt (Rat):
Q9QYW3;
Storage/Stability:Shipped at 4°C. Upon delivery aliquot and store at -20°C for one year. Avoid freeze/thaw cycles.
-
Western blot analysis of MOB4 expression in A549 (A), MCF7 (B), mouse heart (C), rat brain (D) whole cell lysates. (Predicted band size: 22; 23; 26 kD; Observed band size: 26 kD) -
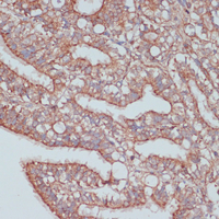
Immunohistochemical analysis of MOB4 staining in rat ovary formalin fixed paraffin embedded tissue section. The section was pre-treated using heat mediated antigen retrieval with sodium citrate buffer (pH 6.0). The section was then incubated with the antibody at room temperature and detected using an HRP conjugated compact polymer system. DAB was used as the chromogen. The section was then counterstained with haematoxylin and mounted with DPX.


Datasheet
MSDS