Description:Rabbit polyclonal antibody to MAN1A2Immunogen:Recombinant fusion protein of human MAN1A2. The exact sequence is proprietary.Purification:The antibody was purified by immunogen affinity chromatography.Clonality:PolyclonalForm:Liquid in 0.42% Potassium phosphate, 0.87% Sodium chloride, pH 7.3, 30% glycerol, and 0.01% sodium azide.Dilution:WB (1/500 - 1/2000), IH (1/50 - 1/200)Gene Symbol:MAN1A2Alternative Names:MAN1B; Mannosyl-oligosaccharide 1 2-alpha-mannosidase IB; Mannosidase alpha class 1A member 2; Processing alpha-1 2-mannosidase IB; Alpha-1 2-mannosidase IB
Entrez Gene (Human):
10905;
Entrez Gene (Mouse):
17156;
SwissProt (Human):
O60476;
SwissProt (Mouse):
P39098;
Storage/Stability:Shipped at 4°C. Upon delivery aliquot and store at -20°C for one year. Avoid freeze/thaw cycles.
-
Western blot analysis of MAN1A2 expression in A549 (A), mouse brain (B) whole cell lysates. (Predicted band size: 73 kD; Observed band size: 73 kD) -
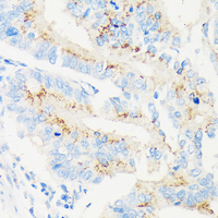
Immunohistochemical analysis of MAN1A2 staining in human colon cancer formalin fixed paraffin embedded tissue section. The section was pre-treated using heat mediated antigen retrieval with sodium citrate buffer (pH 6.0). The section was then incubated with the antibody at room temperature and detected using an HRP conjugated compact polymer system. DAB was used as the chromogen. The section was then counterstained with haematoxylin and mounted with DPX.


Datasheet
MSDS