Description:Rabbit polyclonal antibody to LDL ReceptorImmunogen:KLH-conjugated synthetic peptide of human LDL Receptor. The exact sequence is proprietary.Purification:The antibody was purified by immunogen affinity chromatography.Clonality:PolyclonalForm:Liquid in 0.42% Potassium phosphate, 0.87% Sodium chloride, pH 7.3, 30% glycerol, and 0.01% sodium azide.Dilution:WB (1/500 - 1/2000), IH (1/50 - 1/200), IF/IC (1/50 - 1/200)Gene Symbol:LDLRAlternative Names:Low-density lipoprotein receptor; LDL receptor
Entrez Gene (Human):
3949;
Entrez Gene (Mouse):
16835;
Entrez Gene (Rat):
300438;
SwissProt (Human):
P01130;
SwissProt (Mouse):
P35951;
SwissProt (Rat):
P35952;
Storage/Stability:Shipped at 4°C. Upon delivery aliquot and store at -20°C for one year. Avoid freeze/thaw cycles.
-
Western blot analysis of LDL Receptor expression in HeLa (A), Jurkat (B), NIH3T3 (C) whole cell lysates. (Predicted band size: 75; 76; 82; 90; 95 kD; Observed band size: 100-160 kD) -
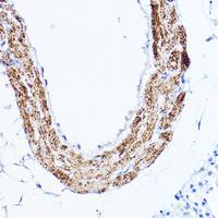
Immunohistochemical analysis of LDL Receptor staining in mouse lung formalin fixed paraffin embedded tissue section. The section was pre-treated using heat mediated antigen retrieval with sodium citrate buffer (pH 6.0). The section was then incubated with the antibody at room temperature and detected using an HRP conjugated compact polymer system. DAB was used as the chromogen. The section was then counterstained with haematoxylin and mounted with DPX. -
Immunofluorescent analysis of LDL Receptor staining in NIH3T3 cells. Formalin-fixed cells were permeabilized with 0.1% Triton X-100 in TBS for 5-10 minutes and blocked with 3% BSA-PBS for 30 minutes at room temperature. Cells were probed with the primary antibody in 3% BSA-PBS and incubated overnight at 4 °C in a humidified chamber. Cells were washed with PBST and incubated with a AF594-conjugated secondary antibody (red) in PBS at room temperature in the dark. DAPI was used to stain the cell nuclei (blue).
miR-181d-5p ameliorates hypercholesterolemia by targeting PCSK9


Datasheet
MSDS