Description:Rabbit polyclonal antibody to LARP2Immunogen:Recombinant fusion protein of human LARP2. The exact sequence is proprietary.Purification:The antibody was purified by immunogen affinity chromatography.Clonality:PolyclonalForm:Liquid in 0.42% Potassium phosphate, 0.87% Sodium chloride, pH 7.3, 30% glycerol, and 0.01% sodium azide.Dilution:WB (1/500 - 1/2000), IH (1/50 - 1/200)Gene Symbol:LARP1BAlternative Names:LARP2; La-related protein 1B; La ribonucleoprotein domain family member 1B; La ribonucleoprotein domain family member 2; La-related protein 2
Entrez Gene (Human):
55132;
SwissProt (Human):
Q659C4;
Storage/Stability:Shipped at 4°C. Upon delivery aliquot and store at -20°C for one year. Avoid freeze/thaw cycles.
-
Western blot analysis of LARP2 expression in HT29 (A), HeLa (B), mouse brain (C) whole cell lysates. (Predicted band size: 14; 24-38; 90-105 kD; Observed band size: 105 kD) -
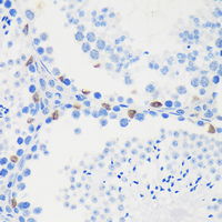
Immunohistochemical analysis of LARP2 staining in mouse testis formalin fixed paraffin embedded tissue section. The section was pre-treated using heat mediated antigen retrieval with sodium citrate buffer (pH 6.0). The section was then incubated with the antibody at room temperature and detected using an HRP conjugated compact polymer system. DAB was used as the chromogen. The section was then counterstained with haematoxylin and mounted with DPX.


Datasheet
MSDS