Description:Rabbit polyclonal antibody to KIFC1Immunogen:Recombinant fusion protein of human KIFC1. The exact sequence is proprietary.Purification:The antibody was purified by immunogen affinity chromatography.Clonality:PolyclonalForm:Liquid in 0.42% Potassium phosphate, 0.87% Sodium chloride, pH 7.3, 30% glycerol, and 0.01% sodium azide.Dilution:WB (1/500 - 1/2000), IH (1/50 - 1/200), IF/IC (1/50 - 1/200)Gene Symbol:KIFC1Alternative Names:HSET; KNSL2; Kinesin-like protein KIFC1; Kinesin-like protein 2; Kinesin-related protein HSET
Entrez Gene (Human):
3833;
Entrez Gene (Mouse):
100502766;
16580;
Entrez Gene (Rat):
294286;
SwissProt (Human):
Q9BW19;
SwissProt (Mouse):
Q9QWT9;
SwissProt (Rat):
Q5XI63;
Storage/Stability:Shipped at 4°C. Upon delivery aliquot and store at -20°C for one year. Avoid freeze/thaw cycles.
-
Western blot analysis of KIFC1 expression in HT29 (A), HeLa (B) whole cell lysates. (Predicted band size: 73 kD; Observed band size: 74 kD) -
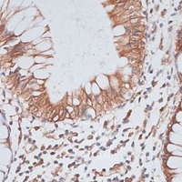
Immunohistochemical analysis of KIFC1 staining in human colon cancer formalin fixed paraffin embedded tissue section. The section was pre-treated using heat mediated antigen retrieval with sodium citrate buffer (pH 6.0). The section was then incubated with the antibody at room temperature and detected using an HRP conjugated compact polymer system. DAB was used as the chromogen. The section was then counterstained with haematoxylin and mounted with DPX. -
Immunofluorescent analysis of KIFC1 staining in U2OS cells. Formalin-fixed cells were permeabilized with 0.1% Triton X-100 in TBS for 5-10 minutes and blocked with 3% BSA-PBS for 30 minutes at room temperature. Cells were probed with the primary antibody in 3% BSA-PBS and incubated overnight at 4 °C in a hidified chamber. Cells were washed with PBST and incubated with a Alexa Fluor 488-conjugated secondary antibody (green) in PBS at room temperature in the dark.


Datasheet
MSDS