Description:Rabbit polyclonal antibody to KIF17Immunogen:Recombinant fusion protein of human KIF17. The exact sequence is proprietary.Purification:The antibody was purified by immunogen affinity chromatography.Clonality:PolyclonalForm:Liquid in 0.42% Potassium phosphate, 0.87% Sodium chloride, pH 7.3, 30% glycerol, and 0.01% sodium azide.Dilution:WB (1/500 - 1/2000), IH (1/50 - 1/200), IF/IC (1/50 - 1/200)Gene Symbol:KIF17Alternative Names:KIAA1405; KIF3X; Kinesin-like protein KIF17; KIF3-related motor protein
Entrez Gene (Human):
57576;
Entrez Gene (Mouse):
16559;
SwissProt (Human):
Q9P2E2;
SwissProt (Mouse):
Q99PW8;
Storage/Stability:Shipped at 4°C. Upon delivery aliquot and store at -20°C for one year. Avoid freeze/thaw cycles.
-
Western blot analysis of KIF17 expression in PC3 (A), mouse brain (B) whole cell lysates. (Predicted band size: 114; 115 kD; Observed band size: 170 kD) -
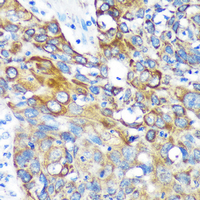
Immunohistochemical analysis of KIF17 staining in human lung cancer formalin fixed paraffin embedded tissue section. The section was pre-treated using heat mediated antigen retrieval with sodium citrate buffer (pH 6.0). The section was then incubated with the antibody at room temperature and detected using an HRP conjugated compact polymer system. DAB was used as the chromogen. The section was then counterstained with haematoxylin and mounted with DPX. -
Immunofluorescent analysis of KIF17 staining in rat brain. Formalin-fixed cells were permeabilized with 0.1% Triton X-100 in TBS for 5-10 minutes and blocked with 3% BSA-PBS for 30 minutes at room temperature. Cells were probed with the primary antibody in 3% BSA-PBS and incubated overnight at 4 °C in a humidified chamber. Cells were washed with PBST and incubated with a AF594-conjugated secondary antibody (red) in PBS at room temperature in the dark. DAPI was used to stain the cell nuclei (blue).


Datasheet
MSDS