Description:Rabbit polyclonal antibody to IVDImmunogen:Recombinant fusion protein of human IVD. The exact sequence is proprietary.Purification:The antibody was purified by immunogen affinity chromatography.Clonality:PolyclonalForm:Liquid in 0.42% Potassium phosphate, 0.87% Sodium chloride, pH 7.3, 30% glycerol, and 0.01% sodium azide.Dilution:WB (1/500 - 1/2000), IH (1/50 - 1/200)Gene Symbol:IVDAlternative Names:Isovaleryl-CoA dehydrogenase mitochondrial; IVD
Entrez Gene (Human):
3712;
Entrez Gene (Mouse):
56357;
Entrez Gene (Rat):
24513;
SwissProt (Human):
P26440;
SwissProt (Mouse):
Q9JHI5;
SwissProt (Rat):
P12007;
Storage/Stability:Shipped at 4°C. Upon delivery aliquot and store at -20°C for one year. Avoid freeze/thaw cycles.
-
Western blot analysis of IVD expression in MCF7 (A), mouse kidney (B) whole cell lysates. (Predicted band size: 42; 46 kD; Observed band size: 42 kD) -
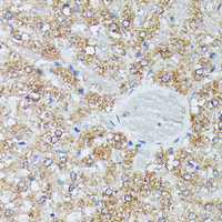
Immunohistochemical analysis of IVD staining in rat liver formalin fixed paraffin embedded tissue section. The section was pre-treated using heat mediated antigen retrieval with sodium citrate buffer (pH 6.0). The section was then incubated with the antibody at room temperature and detected using an HRP conjugated compact polymer system. DAB was used as the chromogen. The section was then counterstained with haematoxylin and mounted with DPX.


Datasheet
MSDS