Description:Rabbit polyclonal antibody to HSD17B8Immunogen:Recombinant fusion protein of human HSD17B8. The exact sequence is proprietary.Purification:The antibody was purified by immunogen affinity chromatography.Clonality:PolyclonalForm:Liquid in 0.42% Potassium phosphate, 0.87% Sodium chloride, pH 7.3, 30% glycerol, and 0.01% sodium azide.Dilution:WB (1/500 - 1/2000), IH (1/50 - 1/200), IF/IC (1/50 - 1/200)Gene Symbol:HSD17B8Alternative Names:FABGL; HKE6; RING2; Estradiol 17-beta-dehydrogenase 8; 17-beta-hydroxysteroid dehydrogenase 8; 17-beta-HSD 8; 3-oxoacyl-[acyl-carrier-protein] reductase; Protein Ke6; Ke-6; Really interesting new gene 2 protein; Testosterone 17-beta-dehydrogenase 8
Entrez Gene (Human):
7923;
Entrez Gene (Mouse):
14979;
Entrez Gene (Rat):
361802;
SwissProt (Human):
Q92506;
SwissProt (Mouse):
P50171;
SwissProt (Rat):
Q6MGB5;
Storage/Stability:Shipped at 4°C. Upon delivery aliquot and store at -20°C for one year. Avoid freeze/thaw cycles.
-
Western blot analysis of HSD17B8 expression in HeLa (A), mouse liver (B), rat heart (C) whole cell lysates. (Predicted band size: 26 kD; Observed band size: 27 kD) -
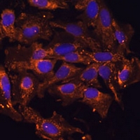
Immunofluorescent analysis of HSD17B8 staining in U2OS cells. Formalin-fixed cells were permeabilized with 0.1% Triton X-100 in TBS for 5-10 minutes and blocked with 3% BSA-PBS for 30 minutes at room temperature. Cells were probed with the primary antibody in 3% BSA-PBS and incubated overnight at 4 °C in a hidified chamber. Cells were washed with PBST and incubated with a Alexa Fluor 594-conjugated secondary antibody (red) in PBS at room temperature in the dark.


Datasheet
MSDS