Description:Rabbit polyclonal antibody to HMGA2Immunogen:KLH-conjugated synthetic peptide of human HMGA2. The exact sequence is proprietary.Purification:The antibody was purified by immunogen affinity chromatography.Clonality:PolyclonalForm:Liquid in 0.42% Potassium phosphate, 0.87% Sodium chloride, pH 7.3, 30% glycerol, and 0.01% sodium azide.Dilution:WB (1/500 - 1/2000), IH (1/50 - 1/200)Gene Symbol:HMGA2Alternative Names:HMGIC; High mobility group protein HMGI-C; High mobility group AT-hook protein 2
Entrez Gene (Human):
8091;
Entrez Gene (Mouse):
15364;
SwissProt (Human):
P52926;
SwissProt (Mouse):
P52927;
Storage/Stability:Shipped at 4°C. Upon delivery aliquot and store at -20°C for one year. Avoid freeze/thaw cycles.
-
Western blot analysis of HMGA2 expression in COLO320 (A) whole cell lysates. (Predicted band size: 9; 10; 11 kD; Observed band size: 18 kD) -
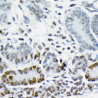
Immunohistochemical analysis of HMGA2 staining in mouse embryos formalin fixed paraffin embedded tissue section. The section was pre-treated using heat mediated antigen retrieval with sodium citrate buffer (pH 6.0). The section was then incubated with the antibody at room temperature and detected using an HRP conjugated compact polymer system. DAB was used as the chromogen. The section was then counterstained with haematoxylin and mounted with DPX.


Datasheet
MSDS