Description:Rabbit polyclonal antibody to VigilinImmunogen:Recombinant fusion protein of human Vigilin. The exact sequence is proprietary.Purification:The antibody was purified by immunogen affinity chromatography.Clonality:PolyclonalForm:Liquid in 0.42% Potassium phosphate, 0.87% Sodium chloride, pH 7.3, 30% glycerol, and 0.01% sodium azide.Dilution:WB (1/500 - 1/2000), IH (1/50 - 1/200), IF/IC (1/50 - 1/200)Gene Symbol:HDLBPAlternative Names:HBP; VGL; Vigilin; High density lipoprotein-binding protein; HDL-binding protein
Entrez Gene (Human):
3069;
Entrez Gene (Mouse):
110611;
SwissProt (Human):
Q00341;
SwissProt (Mouse):
Q8VDJ3;
SwissProt (Rat):
Q9Z1A6;
Storage/Stability:Shipped at 4°C. Upon delivery aliquot and store at -20°C for one year. Avoid freeze/thaw cycles.
-
Western blot analysis of Vigilin expression in Jurkat (A), NIH3T3 (B), mouse heart (C), rat liver (D) whole cell lysates. (Predicted band size: 137; 141 kD; Observed band size: 150 kD) -
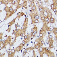
Immunohistochemical analysis of Vigilin staining in human liver formalin fixed paraffin embedded tissue section. The section was pre-treated using heat mediated antigen retrieval with sodium citrate buffer (pH 6.0). The section was then incubated with the antibody at room temperature and detected using an HRP conjugated compact polymer system. DAB was used as the chromogen. The section was then counterstained with haematoxylin and mounted with DPX. -
Immunofluorescent analysis of Vigilin staining in L929 cells. Formalin-fixed cells were permeabilized with 0.1% Triton X-100 in TBS for 5-10 minutes and blocked with 3% BSA-PBS for 30 minutes at room temperature. Cells were probed with the primary antibody in 3% BSA-PBS and incubated overnight at 4 °C in a humidified chamber. Cells were washed with PBST and incubated with a AF594-conjugated secondary antibody (red) in PBS at room temperature in the dark. DAPI was used to stain the cell nuclei (blue).


Datasheet
MSDS