Description:Rabbit polyclonal antibody to HACE1Immunogen:KLH-conjugated synthetic peptide of human HACE1. The exact sequence is proprietary.Purification:The antibody was purified by immunogen affinity chromatography.Clonality:PolyclonalForm:Liquid in 0.42% Potassium phosphate, 0.87% Sodium chloride, pH 7.3, 30% glycerol, and 0.01% sodium azide.Dilution:WB (1/500 - 1/2000), IH (1/50 - 1/200)Gene Symbol:HACE1Alternative Names:KIAA1320; E3 ubiquitin-protein ligase HACE1; HECT domain and ankyrin repeat-containing E3 ubiquitin-protein ligase 1
Entrez Gene (Human):
57531;
Entrez Gene (Mouse):
209462;
Entrez Gene (Rat):
361866;
SwissProt (Human):
Q8IYU2;
SwissProt (Mouse):
Q3U0D9;
SwissProt (Rat):
D3ZBM7;
Storage/Stability:Shipped at 4°C. Upon delivery aliquot and store at -20°C for one year. Avoid freeze/thaw cycles.
-
Western blot analysis of HACE1 expression in HeLa (A), mouse lung (B), mouse spleen (C) whole cell lysates. (Predicted band size: 35; 63; 77; 102 kD; Observed band size: 102 kD) -
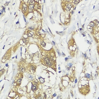
Immunohistochemical analysis of HACE1 staining in human liver cancer formalin fixed paraffin embedded tissue section. The section was pre-treated using heat mediated antigen retrieval with sodium citrate buffer (pH 6.0). The section was then incubated with the antibody at room temperature and detected using an HRP conjugated compact polymer system. DAB was used as the chromogen. The section was then counterstained with haematoxylin and mounted with DPX.


Datasheet
MSDS