Description:Rabbit polyclonal antibody to GSTM3Immunogen:Recombinant fusion protein of human GSTM3. The exact sequence is proprietary.Purification:The antibody was purified by immunogen affinity chromatography.Clonality:PolyclonalForm:Liquid in 0.42% Potassium phosphate, 0.87% Sodium chloride, pH 7.3, 30% glycerol, and 0.01% sodium azide.Dilution:WB (1/500 - 1/2000), IF/IC (1/50 - 1/200)Gene Symbol:GSTM3Alternative Names:GST5; Glutathione S-transferase Mu 3; GST class-mu 3; GSTM3-3; hGSTM3-3
Entrez Gene (Human):
2947;
SwissProt (Human):
P21266;
Storage/Stability:Shipped at 4°C. Upon delivery aliquot and store at -20°C for one year. Avoid freeze/thaw cycles.
-
Western blot analysis of GSTM3 expression in HepG2 (A), mouse liver (B) whole cell lysates. (Predicted band size: 26 kD; Observed band size: 25 kD) -
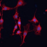
Immunofluorescent analysis of GSTM3 staining in C6 cells. Formalin-fixed cells were permeabilized with 0.1% Triton X-100 in TBS for 5-10 minutes and blocked with 3% BSA-PBS for 30 minutes at room temperature. Cells were probed with the primary antibody in 3% BSA-PBS and incubated overnight at 4 °C in a hidified chamber. Cells were washed with PBST and incubated with a Alexa Fluor 594-conjugated secondary antibody (red) in PBS at room temperature in the dark.


Datasheet
MSDS