Description:Rabbit polyclonal antibody to Flightless-1Immunogen:Recombinant fusion protein of human Flightless-1. The exact sequence is proprietary.Purification:The antibody was purified by immunogen affinity chromatography.Clonality:PolyclonalForm:Liquid in 0.42% Potassium phosphate, 0.87% Sodium chloride, pH 7.3, 30% glycerol, and 0.01% sodium azide.Dilution:WB (1/500 - 1/2000), IH (1/50 - 1/200)Gene Symbol:FLIIAlternative Names:FLIL; Protein flightless-1 homolog
Entrez Gene (Human):
2314;
Entrez Gene (Mouse):
14248;
SwissProt (Human):
Q13045;
SwissProt (Mouse):
Q9JJ28;
Storage/Stability:Shipped at 4°C. Upon delivery aliquot and store at -20°C for one year. Avoid freeze/thaw cycles.
-
Western blot analysis of Flightless-1 expression in HeLa (A), Jurkat (B) whole cell lysates. (Predicted band size: 138; 143; 144 kD; Observed band size: 160 kD) -
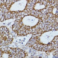
Immunohistochemical analysis of Flightless-1 staining in human colon cancer formalin fixed paraffin embedded tissue section. The section was pre-treated using heat mediated antigen retrieval with sodium citrate buffer (pH 6.0). The section was then incubated with the antibody at room temperature and detected using an HRP conjugated compact polymer system. DAB was used as the chromogen. The section was then counterstained with haematoxylin and mounted with DPX.


Datasheet
MSDS