Description:Rabbit polyclonal antibody to FKBP1BImmunogen:KLH-conjugated synthetic peptide of human FKBP1B. The exact sequence is proprietary.Purification:The antibody was purified by immunogen affinity chromatography.Clonality:PolyclonalForm:Liquid in 0.42% Potassium phosphate, 0.87% Sodium chloride, pH 7.3, 30% glycerol, and 0.01% sodium azide.Dilution:WB (1/500 - 1/2000), IH (1/50 - 1/200), IF/IC (1/50 - 1/200)Gene Symbol:FKBP1BAlternative Names:FKBP12.6; FKBP1L; FKBP9; OTK4; Peptidyl-prolyl cis-trans isomerase FKBP1B; PPIase FKBP1B; 12.6 kDa FK506-binding protein; 12.6 kDa FKBP; FKBP-12.6; FK506-binding protein 1B; FKBP-1B; Immunophilin FKBP12.6; Rotamase; h-FKBP-12
Entrez Gene (Human):
2281;
Entrez Gene (Mouse):
14226;
Entrez Gene (Rat):
58950;
SwissProt (Human):
P68106;
SwissProt (Mouse):
Q9Z2I2;
SwissProt (Rat):
P97534;
Storage/Stability:Shipped at 4°C. Upon delivery aliquot and store at -20°C for one year. Avoid freeze/thaw cycles.
-
Western blot analysis of FKBP1B expression in 22Rv1 (A), mouse brain (B), rat brain (C) whole cell lysates. (Predicted band size: 8; 11 kD; Observed band size: 13 kD) -
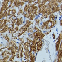
Immunohistochemical analysis of FKBP1B staining in mouse heart formalin fixed paraffin embedded tissue section. The section was pre-treated using heat mediated antigen retrieval with sodium citrate buffer (pH 6.0). The section was then incubated with the antibody at room temperature and detected using an HRP conjugated compact polymer system. DAB was used as the chromogen. The section was then counterstained with haematoxylin and mounted with DPX. -
Immunofluorescent analysis of FKBP1B staining in L929 cells. Formalin-fixed cells were permeabilized with 0.1% Triton X-100 in TBS for 5-10 minutes and blocked with 3% BSA-PBS for 30 minutes at room temperature. Cells were probed with the primary antibody in 3% BSA-PBS and incubated overnight at 4 °C in a hidified chamber. Cells were washed with PBST and incubated with a Alexa Fluor 488-conjugated secondary antibody (green) in PBS at room temperature in the dark.


Datasheet
MSDS