Description:Rabbit polyclonal antibody to FCHSD1Immunogen:Recombinant fusion protein of human FCHSD1. The exact sequence is proprietary.Purification:The antibody was purified by immunogen affinity chromatography.Clonality:PolyclonalForm:Liquid in 0.42% Potassium phosphate, 0.87% Sodium chloride, pH 7.3, 30% glycerol, and 0.01% sodium azide.Dilution:WB (1/500 - 1/2000), IH (1/50 - 1/200)Gene Symbol:FCHSD1Alternative Names:FCH and double SH3 domains protein 1
Entrez Gene (Human):
89848;
Entrez Gene (Mouse):
319262;
SwissProt (Human):
Q86WN1;
SwissProt (Mouse):
Q6PFY1;
Storage/Stability:Shipped at 4°C. Upon delivery aliquot and store at -20°C for one year. Avoid freeze/thaw cycles.
-
Western blot analysis of FCHSD1 expression in Jurkat (A), K562 (B), mouse brain (C), rat liver (D) whole cell lysates. (Predicted band size: 40; 46; 76 kD; Observed band size: 75 kD) -
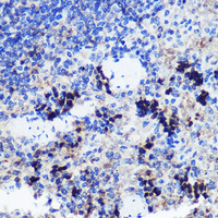
Immunohistochemical analysis of FCHSD1 staining in rat spleen formalin fixed paraffin embedded tissue section. The section was pre-treated using heat mediated antigen retrieval with sodium citrate buffer (pH 6.0). The section was then incubated with the antibody at room temperature and detected using an HRP conjugated compact polymer system. DAB was used as the chromogen. The section was then counterstained with haematoxylin and mounted with DPX.


Datasheet
MSDS