Description:Rabbit polyclonal antibody to CD39L2Immunogen:Recombinant fusion protein of human CD39L2. The exact sequence is proprietary.Purification:The antibody was purified by immunogen affinity chromatography.Clonality:PolyclonalForm:Liquid in 0.42% Potassium phosphate, 0.87% Sodium chloride, pH 7.3, 30% glycerol, and 0.01% sodium azide.Dilution:WB (1/500 - 1/2000), IH (1/50 - 1/200)Gene Symbol:ENTPD6Alternative Names:CD39L2; IL6ST2; Ectonucleoside triphosphate diphosphohydrolase 6; NTPDase 6; CD39 antigen-like 2
Entrez Gene (Human):
955;
Entrez Gene (Rat):
85260;
SwissProt (Human):
O75354;
SwissProt (Rat):
Q9ER31;
Storage/Stability:Shipped at 4°C. Upon delivery aliquot and store at -20°C for one year. Avoid freeze/thaw cycles.
-
Western blot analysis of CD39L2 expression in mouse brain (A), rat spleen (B) whole cell lysates. (Predicted band size: 51; 53 kD; Observed band size: 45 kD) -
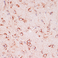
Immunohistochemical analysis of CD39L2 staining in rat brain formalin fixed paraffin embedded tissue section. The section was pre-treated using heat mediated antigen retrieval with sodium citrate buffer (pH 6.0). The section was then incubated with the antibody at room temperature and detected using an HRP conjugated compact polymer system. DAB was used as the chromogen. The section was then counterstained with haematoxylin and mounted with DPX.


Datasheet
MSDS