Description:Rabbit polyclonal antibody to Neutrophil ElastaseImmunogen:Recombinant fusion protein of human Neutrophil Elastase. The exact sequence is proprietary.Purification:The antibody was purified by immunogen affinity chromatography.Clonality:PolyclonalForm:Liquid in 0.42% Potassium phosphate, 0.87% Sodium chloride, pH 7.3, 30% glycerol, and 0.01% sodium azide.Dilution:WB (1/500 - 1/1000), IH (1/50 - 1/200), IF/IC (1/50 - 1/200)Gene Symbol:ELANEAlternative Names:ELA2; Neutrophil elastase; Bone marrow serine protease; Elastase-2; Human leukocyte elastase; HLE; Medullasin; PMN elastase
Entrez Gene (Human):
1991;
Entrez Gene (Mouse):
50701;
SwissProt (Human):
P08246;
SwissProt (Mouse):
Q3UP87;
Storage/Stability:Shipped at 4°C. Upon delivery aliquot and store at -20°C for one year. Avoid freeze/thaw cycles.
-
Western blot analysis of Neutrophil Elastase expression in LO2 (A), mouse brain (B) whole cell lysates. (Predicted band size: 28 kD; Observed band size: 30 kD) -
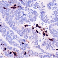
Immunohistochemical analysis of Neutrophil Elastase staining in human colon cancer formalin fixed paraffin embedded tissue section. The section was pre-treated using heat mediated antigen retrieval with sodium citrate buffer (pH 6.0). The section was then incubated with the antibody at room temperature and detected using an HRP conjugated compact polymer system. DAB was used as the chromogen. The section was then counterstained with haematoxylin and mounted with DPX. -
Immunofluorescent analysis of Neutrophil Elastase staining in mouse bone marrow. Formalin-fixed cells were permeabilized with 0.1% Triton X-100 in TBS for 5-10 minutes and blocked with 3% BSA-PBS for 30 minutes at room temperature. Cells were probed with the primary antibody in 3% BSA-PBS and incubated overnight at 4 °C in a humidified chamber. Cells were washed with PBST and incubated with a AF594-conjugated secondary antibody (red) in PBS at room temperature in the dark. DAPI was used to stain the cell nuclei (blue).


Datasheet
MSDS