Description:Rabbit polyclonal antibody to DNLC2AImmunogen:KLH-conjugated synthetic peptide of human DNLC2A. The exact sequence is proprietary.Purification:The antibody was purified by immunogen affinity chromatography.Clonality:PolyclonalForm:Liquid in 0.42% Potassium phosphate, 0.87% Sodium chloride, pH 7.3, 30% glycerol, and 0.01% sodium azide.Dilution:WB (1/500 - 1/2000), IH (1/50 - 1/200)Gene Symbol:DYNLRB1Alternative Names:BITH; DNCL2A; DNLC2A; ROBLD1; Dynein light chain roadblock-type 1; Bithoraxoid-like protein; BLP; Dynein light chain 2A cytoplasmic; Dynein-associated protein Km23; Roadblock domain-containing protein 1
Entrez Gene (Human):
83658;
Entrez Gene (Mouse):
67068;
Entrez Gene (Rat):
170714;
SwissProt (Human):
Q9NP97;
SwissProt (Mouse):
P62627;
SwissProt (Rat):
P62628;
Storage/Stability:Shipped at 4°C. Upon delivery aliquot and store at -20°C for one year. Avoid freeze/thaw cycles.
-
Western blot analysis of DNLC2A expression in HEK293T (A), mouse brain (B) whole cell lysates. (Predicted band size: 5; 10 kD; Observed band size: 11 kD) -
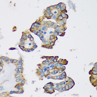
Immunohistochemical analysis of DNLC2A staining in human thyroid cancer formalin fixed paraffin embedded tissue section. The section was pre-treated using heat mediated antigen retrieval with sodium citrate buffer (pH 6.0). The section was then incubated with the antibody at room temperature and detected using an HRP conjugated compact polymer system. DAB was used as the chromogen. The section was then counterstained with haematoxylin and mounted with DPX.


Datasheet
MSDS