Description:Rabbit polyclonal antibody to DIS3LImmunogen:Recombinant fusion protein of human DIS3L. The exact sequence is proprietary.Purification:The antibody was purified by immunogen affinity chromatography.Clonality:PolyclonalForm:Liquid in 0.42% Potassium phosphate, 0.87% Sodium chloride, pH 7.3, 30% glycerol, and 0.01% sodium azide.Dilution:WB (1/500 - 1/2000), IH (1/50 - 1/200)Gene Symbol:DIS3LAlternative Names:DIS3L1; KIAA1955; DIS3-like exonuclease 1
Entrez Gene (Human):
115752;
Entrez Gene (Mouse):
213550;
Entrez Gene (Rat):
363077;
SwissProt (Human):
Q8TF46;
SwissProt (Mouse):
Q8C0S1;
SwissProt (Rat):
Q5U2P0;
Storage/Stability:Shipped at 4°C. Upon delivery aliquot and store at -20°C for one year. Avoid freeze/thaw cycles.
-
Western blot analysis of DIS3L expression in HeLa (A), mouse testis (B), rat thymus (C) whole cell lysates. (Predicted band size: 86; 105; 111; 120 kD; Observed band size: 130 kD) -
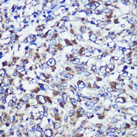
Immunohistochemical analysis of DIS3L staining in human liver cancer formalin fixed paraffin embedded tissue section. The section was pre-treated using heat mediated antigen retrieval with sodium citrate buffer (pH 6.0). The section was then incubated with the antibody at room temperature and detected using an HRP conjugated compact polymer system. DAB was used as the chromogen. The section was then counterstained with haematoxylin and mounted with DPX.


Datasheet
MSDS