Description:Rabbit polyclonal antibody to VASAImmunogen:Recombinant fusion protein of human VASA. The exact sequence is proprietary.Purification:The antibody was purified by immunogen affinity chromatography.Clonality:PolyclonalForm:Liquid in 0.42% Potassium phosphate, 0.87% Sodium chloride, pH 7.3, 30% glycerol, and 0.01% sodium azide.Dilution:WB (1/500 - 1/2000), IH (1/50 - 1/200), IF/IC (1/50 - 1/200)Gene Symbol:DDX4Alternative Names:VASA; Probable ATP-dependent RNA helicase DDX4; DEAD box protein 4; Vasa homolog
Entrez Gene (Human):
54514;
Entrez Gene (Mouse):
13206;
Entrez Gene (Rat):
310090;
SwissProt (Human):
Q9NQI0;
SwissProt (Mouse):
Q61496;
SwissProt (Rat):
Q64060;
Storage/Stability:Shipped at 4°C. Upon delivery aliquot and store at -20°C for one year. Avoid freeze/thaw cycles.
-
Western blot analysis of VASA expression in OVCAR3 (A), mouse testis (B), rat testis (C) whole cell lysates. (Predicted band size: 63; 75; 77; 79 kD; Observed band size: 75-79 kD) -
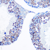
Immunohistochemical analysis of VASA staining in mouse testis formalin fixed paraffin embedded tissue section. The section was pre-treated using heat mediated antigen retrieval with sodium citrate buffer (pH 6.0). The section was then incubated with the antibody at room temperature and detected using an HRP conjugated compact polymer system. DAB was used as the chromogen. The section was then counterstained with haematoxylin and mounted with DPX. -
Immunofluorescent analysis of VASA staining in rat testis. Formalin-fixed cells were permeabilized with 0.1% Triton X-100 in TBS for 5-10 minutes and blocked with 3% BSA-PBS for 30 minutes at room temperature. Cells were probed with the primary antibody in 3% BSA-PBS and incubated overnight at 4 °C in a humidified chamber. Cells were washed with PBST and incubated with a AF594-conjugated secondary antibody (red) in PBS at room temperature in the dark. DAPI was used to stain the cell nuclei (blue).


Datasheet
MSDS