Description:Ready to use Goat Polyclonal Secondary Antibody to Mouse/Rabbit IgG (H&L) HRP polymer labledImmunogen:Mouse/Rabbit IgGPurification:Goat Polyclonal Secondary Antibody to Mouse/Rabbit IgG (H&L) have been cross-adsorbed against IgG from bovine, goat, horse and human. Cross-adsorption or pre-adsorption is a purification step to increase specificity of the antibody resulting in less background staining and cross-reactivity. The secondary antibody solution is passed through a column matrix containing immobilized serum proteins from potentially cross-reactive species. Only the nonspecific-binding secondary antibodies are captured in the column, and the highly specific secondaries flow through. Further passages through additional columns result in highly cross-adsorbed preparations of secondary antibody. The benefits of these extra steps are apparent in multiplexing/multicolor-staining experiments where there is potential cross-reactivity with other primary antibodies or in tissue/cell fluorescent staining experiments where there may be the presence of endogenous immunoglobulins.Clonality:PolyclonalConjugation:HRP PolymerForm:Liquid in PBS, pH 7.2, containing 1% BSA, 0.05% ProclinDilution:Ready to use
Directions for Use:Goat Anti-Mouse/Rabbit IgG (H&L)-HRP polymer (Ready to use) is a ONE-step polymer system that provides increased sensitivity, time savings and detection simplicity. This product allows the use of less antibody to obtain better signal-to-noise ratios. This system is also biotin-free, which eliminates background staining found with traditional biotin-based detection methods.Storage/Stability:Shipped and store at 4°C for one year.
-
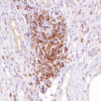
Immunohistochemical analysis staining in human liver carcinoma formalin fixed paraffin-embedded tissue section. The section was pre-treated using pressure cooker heat antigen retrieval with sodium citrate buffer (0.01M, pH=6) for 3 minutes. The section was detected using mouse primary antibody, and Goat Anti-Mouse/Rabbit IgG (H&L)-HRP polymer (Ready to use). The section was then counterstained with haematoxylin and mounted with Neutral Gum. -
Immunohistochemical analysis staining in human liver carcinoma formalin fixed parAcalephFluorfin-embedded tissue section. The section was pre-treated using pressure cooker heat antigen retrieval with sodium citrate buffer (0.01M, pH=6) for 3 minutes. The section was detected using rabbit primary antibody, and Goat Anti-Mouse/Rabbit IgG (H&L)-HRP polymer (Ready to use). The section was then counterstained with haematoxylin and mounted with Neutral Gum.


Datasheet
MSDS