Description:Rabbit polyclonal antibody to NUP50Immunogen:Recombinant fusion protein of human NUP50. The exact sequence is proprietary.Purification:The antibody was purified by immunogen affinity chromatography.Clonality:PolyclonalForm:Liquid in 0.42% Potassium phosphate, 0.87% Sodium chloride, pH 7.3, 30% glycerol, and 0.01% sodium azide.Dilution:WB (1/500 - 1/2000), IH (1/50 - 1/200)Gene Symbol:NUP50Alternative Names:NPAP60L; Nuclear pore complex protein Nup50; 50 kDa nucleoporin; Nuclear pore-associated protein 60 kDa-like; Nucleoporin Nup50
Entrez Gene (Human):
10762;
Entrez Gene (Mouse):
18141;
Entrez Gene (Rat):
25497;
SwissProt (Human):
Q9UKX7;
SwissProt (Mouse):
Q9JIH2;
SwissProt (Rat):
O08587;
Storage/Stability:Shipped at 4°C. Upon delivery aliquot and store at -20°C for one year. Avoid freeze/thaw cycles.
-
Western blot analysis of NUP50 expression in HeLa (A), mouse thymus (B) whole cell lysates. (Predicted band size: 46; 50 kD; Observed band size: 50 kD) -
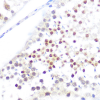
Immunohistochemical analysis of NUP50 staining in rat testis formalin fixed paraffin embedded tissue section. The section was pre-treated using heat mediated antigen retrieval with sodium citrate buffer (pH 6.0). The section was then incubated with the antibody at room temperature and detected using an HRP conjugated compact polymer system. DAB was used as the chromogen. The section was then counterstained with haematoxylin and mounted with DPX.


Datasheet
MSDS