Description:Rabbit polyclonal antibody to Lunatic FringeImmunogen:Recombinant fusion protein of human Lunatic Fringe. The exact sequence is proprietary.Purification:The antibody was purified by immunogen affinity chromatography.Clonality:PolyclonalForm:Liquid in 0.42% Potassium phosphate, 0.87% Sodium chloride, pH 7.3, 30% glycerol, and 0.01% sodium azide.Dilution:WB (1/500 - 1/2000), IH (1/50 - 1/200)Gene Symbol:LFNGAlternative Names:Beta-1 3-N-acetylglucosaminyltransferase lunatic fringe; O-fucosylpeptide 3-beta-N-acetylglucosaminyltransferase
Entrez Gene (Human):
3955;
Entrez Gene (Mouse):
16848;
Entrez Gene (Rat):
170905;
SwissProt (Human):
Q8NES3;
SwissProt (Mouse):
O09010;
SwissProt (Rat):
Q924T4;
Storage/Stability:Shipped at 4°C. Upon delivery aliquot and store at -20°C for one year. Avoid freeze/thaw cycles.
-
Western blot analysis of Lunatic Fringe expression in PC12 (A), HeLa (B), mouse lung (C) whole cell lysates. (Predicted band size: 41 kD; Observed band size: 44 kD) -
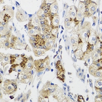
Immunohistochemical analysis of Lunatic Fringe staining in human stomach formalin fixed paraffin embedded tissue section. The section was pre-treated using heat mediated antigen retrieval with sodium citrate buffer (pH 6.0). The section was then incubated with the antibody at room temperature and detected using an HRP conjugated compact polymer system. DAB was used as the chromogen. The section was then counterstained with haematoxylin and mounted with DPX.


Datasheet
MSDS