Description:Rabbit polyclonal antibody to EXTL3Immunogen:Recombinant full length protein of human EXTL3Purification:The antibody was purified by immunogen affinity chromatography.Clonality:PolyclonalForm:Liquid in 0.42% Potassium phosphate, 0.87% Sodium chloride, pH 7.3, 30% glycerol, and 0.01% sodium azide.Dilution:WB (1/500 - 1/2000), IH (1/50 - 1/200)Gene Symbol:EXTL3Alternative Names:EXTL1L; EXTR1; KIAA0519; Exostosin-like 3; EXT-related protein 1; Glucuronyl-galactosyl-proteoglycan 4-alpha-N-acetylglucosaminyltransferase; Hereditary multiple exostoses gene isolog; Multiple exostosis-like protein 3; Putative tumor suppressor protein EXTL3
Entrez Gene (Human):
2137;
SwissProt (Human):
O43909;
SwissProt (Mouse):
Q9WVL6;
Storage/Stability:Shipped at 4°C. Upon delivery aliquot and store at -20°C for one year. Avoid freeze/thaw cycles.
-
Western blot analysis of EXTL3 expression in 293T (A), mouse pancreas (B), rat lung (C) whole cell lysates. (Predicted band size: 104 kD; Observed band size: 105 kD) -
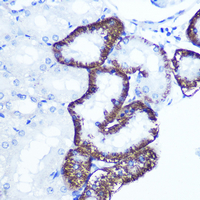
Immunohistochemical analysis of EXTL3 staining in rat kidney formalin fixed paraffin embedded tissue section. The section was pre-treated using heat mediated antigen retrieval with sodium citrate buffer (pH 6.0). The section was then incubated with the antibody at room temperature and detected using an HRP conjugated compact polymer system. DAB was used as the chromogen. The section was then counterstained with haematoxylin and mounted with DPX.


Datasheet
MSDS