Description:Rabbit polyclonal antibody to KLHL9Immunogen:Recombinant full length protein of human KLHL9Purification:The antibody was purified by immunogen affinity chromatography.Clonality:PolyclonalForm:Liquid in 0.42% Potassium phosphate, 0.87% Sodium chloride, pH 7.3, 30% glycerol, and 0.01% sodium azide.Dilution:WB (1/500 - 1/2000), IH (1/50 - 1/200)Gene Symbol:KLHL9Alternative Names:KIAA1354; Kelch-like protein 9
Entrez Gene (Human):
55958;
Entrez Gene (Mouse):
242521;
SwissProt (Human):
Q9P2J3;
SwissProt (Mouse):
Q6ZPT1;
Storage/Stability:Shipped at 4°C. Upon delivery aliquot and store at -20°C for one year. Avoid freeze/thaw cycles.
-
Western blot analysis of KLHL9 expression in A549 (A), MCF7 (B), mouse lung (C), rat kidney (D) whole cell lysates. (Predicted band size: 69 kD; Observed band size: 75 kD) -
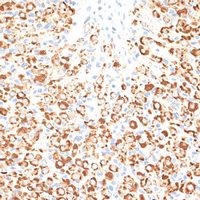
Immunohistochemical analysis of KLHL9 staining in rat ovary formalin fixed paraffin embedded tissue section. The section was pre-treated using heat mediated antigen retrieval with sodium citrate buffer (pH 6.0). The section was then incubated with the antibody at room temperature and detected using an HRP conjugated compact polymer system. DAB was used as the chromogen. The section was then counterstained with haematoxylin and mounted with DPX.


Datasheet
MSDS