Description:Rabbit polyclonal antibody to LOXImmunogen:KLH-conjugated synthetic peptide of human LOXPurification:The antibody was purified by immunogen affinity chromatography.Clonality:PolyclonalForm:Liquid in 0.42% Potassium phosphate, 0.87% Sodium chloride, pH 7.3, 30% glycerol, and 0.01% sodium azide.Dilution:WB (1/500 - 1/2000), IH (1/50 - 1/200), IF/IC (1/50 - 1/200)Gene Symbol:LOXAlternative Names:Protein-lysine 6-oxidase; Lysyl oxidase
Entrez Gene (Human):
4015;
Entrez Gene (Mouse):
16948;
Entrez Gene (Rat):
24914;
SwissProt (Human):
P28300;
SwissProt (Mouse):
P28301;
SwissProt (Rat):
P16636;
Storage/Stability:Shipped at 4°C. Upon delivery aliquot and store at -20°C for one year. Avoid freeze/thaw cycles.
-
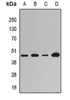
Western blot analysis of LOX expression in Jurkat (A), A431 (B), mouse heart (C), rat lung (D) whole cell lysates. (Predicted band size: 46 kD; Observed band size: 47 kD)


Datasheet
MSDS