Description:Rabbit polyclonal antibody to TRAF3IP3Immunogen:KLH-conjugated synthetic peptide encompassing a sequence within the center region of human TRAF3IP3. The exact sequence is proprietary.Purification:The antibody was purified by immunogen affinity chromatography.Clonality:PolyclonalForm:Liquid in 0.42% Potassium phosphate, 0.87% Sodium chloride, pH 7.3, 30% glycerol, and 0.01% sodium azide.Dilution:WB (1/500 - 1/1000), IH (1/50 - 1/100), IF/IC (1/50 - 1/200), IP (1/10 - 1/100)Gene Symbol:TRAF3IP3Alternative Names:T3JAM; TRAF3-interacting JNK-activating modulator; TRAF3-interacting protein 3
Entrez Gene (Human):
80342;
SwissProt (Human):
Q9Y228;
Storage/Stability:Shipped at 4°C. Upon delivery aliquot and store at -20°C for one year. Avoid freeze/thaw cycles.
-
Western blot analysis of TRAF3IP3 expression in MDAMB453 (A), Jurkat (B), HeLa (C) whole cell lysates. (Predicted band size: 63 kD; Observed band size: 64 kD) -
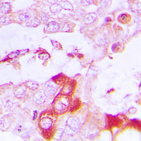
Immunohistochemical analysis of TRAF3IP3 staining in human lung cancer formalin fixed paraffin embedded tissue section. The section was pre-treated using heat mediated antigen retrieval with sodium citrate buffer (pH 6.0). The section was then incubated with the antibody at room temperature and detected using an HRP conjugated compact polymer system. DAB was used as the chromogen. The section was then counterstained with haematoxylin and mounted with DPX. -
Immunofluorescent analysis of TRAF3IP3 staining in HeLa cells. Formalin-fixed cells were permeabilized with 0.1% Triton X-100 in TBS for 5-10 minutes and blocked with 3% BSA-PBS for 30 minutes at room temperature. Cells were probed with the primary antibody in 3% BSA-PBS and incubated overnight at 4 °C in a hidified chamber. Cells were washed with PBST and incubated with a AF594-conjugated secondary antibody (red) in PBS at room temperature in the dark. -
Immunoprecipitation of TRAF3IP3 from 0.5mg Mouse cortex tissue lysate, using 5ug of Anti-TRAF3IP3 Antibody and 50ul of protein G magnetic beads (+). No antibody was added to the control (-). The antibody was incubated under agitation with Protein G beads for 10min, Mouse cortex extract lysate diluted in RIPA buffer was added to each sample and incubated for a further 10min under agitation. Proteins were eluted by addition of 40ul SDS loading buffer and incubated for 10min at 70°C; 10ul of each sample was separated on a SDS PAGE gel, transferred to a nitrocellulose membrane, blocked with 5% BSA and probed with Anti-TRAF3IP3 Antibody.


Datasheet
MSDS