Description:Rabbit polyclonal antibody to LKB1 (Phospho-S428)Immunogen:KLH-conjugated synthetic phosphopeptide corresponding to residues surrounding S428 of human LKB1 protein. The exact sequence is proprietary.Purification:The antibody was purified by immunogen affinity chromatography.Clonality:PolyclonalForm:Liquid in 0.42% Potassium phosphate, 0.87% Sodium chloride, pH 7.3, 30% glycerol, and 0.01% sodium azide.Dilution:WB (1/500 - 1/1000), IH (1/50 - 1/100), IF/IC (1/50 - 1/200)Gene Symbol:STK11Alternative Names:LKB1; PJS; Serine/threonine-protein kinase STK11; Liver kinase B1; LKB1; hLKB1; Renal carcinoma antigen NY-REN-19
Entrez Gene (Human):
6794;
Entrez Gene (Mouse):
20869;
SwissProt (Human):
Q15831;
SwissProt (Mouse):
Q9WTK7;
SwissProt (Rat):
D4AE59;
Storage/Stability:Shipped at 4°C. Upon delivery aliquot and store at -20°C for one year. Avoid freeze/thaw cycles.
-
Western blot analysis of LKB1 (Phospho-S428) expression in HEK293T (A), mouse muscle (B) whole cell lysates. (Predicted band size: 48 kD; Observed band size: 54 kD) -
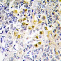
Immunohistochemical analysis of LKB1 (Phospho-S428) staining in human lung cancer formalin fixed paraffin embedded tissue section. The section was pre-treated using heat mediated antigen retrieval with sodium citrate buffer (pH 6.0). The section was then incubated with the antibody at room temperature and detected using an HRP conjugated compact polymer system. DAB was used as the chromogen. The section was then counterstained with haematoxylin and mounted with DPX. -
Immunofluorescent analysis of LKB1 (Phospho-S428) staining in NIH-3T3 cells. Formalin-fixed cells were permeabilized with 0.1% Triton X-100 in TBS for 5-10 minutes and blocked with 3% BSA-PBS for 30 minutes at room temperature. Cells were probed with the primary antibody in 3% BSA-PBS and incubated overnight at 4 °C in a hidified chamber. Cells were washed with PBST and incubated with a AF594-conjugated secondary antibody (red) in PBS at room temperature in the dark.
Cyclic Dinucleotides Trigger ULK1 (ATG1) Phosphorylation of STING to Prevent Sustained Innate Immune Signaling


Datasheet
MSDS