Description:Rabbit polyclonal antibody to STAT3 (Phospho-S727)Immunogen:KLH-conjugated synthetic phosphopeptide corresponding to residues surrounding S727 of human STAT3 protein. The exact sequence is proprietary.Purification:The antibody was purified by immunogen affinity chromatography.Clonality:PolyclonalForm:Liquid in 0.42% Potassium phosphate, 0.87% Sodium chloride, pH 7.3, 30% glycerol, and 0.01% sodium azide.Dilution:WB (1/500 - 1/1000), IH (1/50 - 1/100), IF/IC (1/50 - 1/200), IP (1/10 - 1/100)Gene Symbol:STAT3Alternative Names:APRF; Signal transducer and activator of transcription 3; Acute-phase response factor
Entrez Gene (Human):
6774;
Entrez Gene (Mouse):
20848;
Entrez Gene (Rat):
25125;
SwissProt (Human):
P40763;
SwissProt (Mouse):
P42227;
SwissProt (Rat):
P52631;
Storage/Stability:Shipped at 4°C. Upon delivery aliquot and store at -20°C for one year. Avoid freeze/thaw cycles.
-
Western blot analysis of STAT3 (Phospho-S727) expression in HepG2 (A), A549 (B), LO2 (C), PC12 (D), 3T3L1 (E) whole cell lysates. (Predicted band size: 88 kD; Observed band size: 86 kD) -
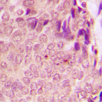
Immunohistochemical analysis of STAT3 (Phospho-S727) staining in human breast cancer formalin fixed paraffin embedded tissue section. The section was pre-treated using heat mediated antigen retrieval with sodium citrate buffer (pH 6.0). The section was then incubated with the antibody at room temperature and detected using an HRP conjugated compact polymer system. DAB was used as the chromogen. The section was then counterstained with haematoxylin and mounted with DPX. -
Immunofluorescent analysis of STAT3 (Phospho-S727) staining in MCF7 cells. Formalin-fixed cells were permeabilized with 0.1% Triton X-100 in TBS for 5-10 minutes and blocked with 3% BSA-PBS for 30 minutes at room temperature. Cells were probed with the primary antibody in 3% BSA-PBS and incubated overnight at 4 °C in a humidified chamber. Cells were washed with PBST and incubated with an AF488-conjugated secondary antibody (green) in PBS at room temperature in the dark. Phalloidin - AF594 was used to stain Actin filaments (red). DAPI was used to stain the cell nuclei (blue).
Isolation and characterisation of cancer stem cells from canine osteosarcoma
Interferon-alpha treatment may negatively influence disease progression in melanoma patients by hyperactivation of STAT3 protein
Physical exercise increases Notch activity, proliferation and cell cycle exit of type-3 progenitor cells in adult hippocampal neurogenesis
Silibinin prevents lung tumorigenesis in wild-type but not in iNOS-/- mice: potential of real-time micro-CT in lung cancer chemoprevention studies
Suppressor of cytokine signaling 4 (SOCS4): moderator of ovarian primordial follicle activation
Density of Gr1-positive myeloid precursor cells, p-STAT3 expression and gene expression pattern in canine mammary cancer metastasis
Menin promotes hepatocellular carcinogenesis and epigenetically up-regulates Yap1 transcription


Datasheet
MSDS