Description:Rabbit polyclonal antibody to Focal Adhesion Kinase (Phospho-Y861)Immunogen:KLH-conjugated synthetic phosphopeptide corresponding to residues surrounding Y861 of human Focal Adhesion Kinase protein. The exact sequence is proprietary.Purification:The antibody was purified by immunogen affinity chromatography.Clonality:PolyclonalForm:Liquid in 0.42% Potassium phosphate, 0.87% Sodium chloride, pH 7.3, 30% glycerol, and 0.01% sodium azide.Dilution:WB (1/500 - 1/1000), IH (1/50 - 1/100)Gene Symbol:PTK2Alternative Names:FAK; FAK1; Focal adhesion kinase 1; FADK 1; Focal adhesion kinase-related nonkinase; FRNK; Protein phosphatase 1 regulatory subunit 71; PPP1R71; Protein-tyrosine kinase 2; p125FAK; pp125FAK
Entrez Gene (Human):
5747;
SwissProt (Human):
Q05397;
Storage/Stability:Shipped at 4°C. Upon delivery aliquot and store at -20°C for one year. Avoid freeze/thaw cycles.
-
Western blot analysis of Focal Adhesion Kinase (Phospho-Y861) expression in mouse kidney (A), rat kidney (B) whole cell lysates. (Predicted band size: 119; 99; 63; 48; 120; 39; 114 kD; Observed band size: 100 kD) -
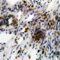
Immunohistochemical analysis of Focal Adhesion Kinase (Phospho-Y861) staining in human kidney cancer formalin fixed paraffin embedded tissue section. The section was pre-treated using heat mediated antigen retrieval with sodium citrate buffer (pH 6.0). The section was then incubated with the antibody at room temperature and detected using an HRP conjugated compact polymer system. DAB was used as the chromogen. The section was then counterstained with haematoxylin and mounted with DPX.


Datasheet
MSDS