Description:Rabbit polyclonal antibody to Pyruvate CarboxylaseImmunogen:KLH-conjugated synthetic peptide encompassing a sequence within the center region of human Pyruvate Carboxylase. The exact sequence is proprietary.Purification:The antibody was purified by immunogen affinity chromatography.Clonality:PolyclonalForm:Liquid in 0.42% Potassium phosphate, 0.87% Sodium chloride, pH 7.3, 30% glycerol, and 0.01% sodium azide.Dilution:WB (1/500 - 1/1000), IH (1/50 - 1/100)Gene Symbol:PCAlternative Names:Pyruvate carboxylase mitochondrial; Pyruvic carboxylase; PCB
Entrez Gene (Human):
5091;
Entrez Gene (Rat):
25104;
SwissProt (Human):
P11498;
SwissProt (Mouse):
Q05920;
SwissProt (Rat):
P52873;
Storage/Stability:Shipped at 4°C. Upon delivery aliquot and store at -20°C for one year. Avoid freeze/thaw cycles.
-
Western blot analysis of Pyruvate Carboxylase expression in rat liver (A) whole cell lysates. (Predicted band size: 129 kD; Observed band size: 130 kD) -
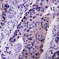
Immunohistochemical analysis of Pyruvate Carboxylase staining in human lung cancer formalin fixed paraffin embedded tissue section. The section was pre-treated using heat mediated antigen retrieval with sodium citrate buffer (pH 6.0). The section was then incubated with the antibody at room temperature and detected using an HRP conjugated compact polymer system. DAB was used as the chromogen. The section was then counterstained with haematoxylin and mounted with DPX.


Datasheet
MSDS