Description:Rabbit polyclonal antibody to MMP7Immunogen:KLH-conjugated synthetic peptide encompassing a sequence within the C-term region of human MMP7. The exact sequence is proprietary.Purification:The antibody was purified by immunogen affinity chromatography.Clonality:PolyclonalForm:Liquid in 0.42% Potassium phosphate, 0.87% Sodium chloride, pH 7.3, 30% glycerol, and 0.01% sodium azide.Dilution:WB (1/500 - 1/1000), IH (1/100 - 1/200)Gene Symbol:MMP7Alternative Names:MPSL1; PUMP1; Matrilysin; Matrin; Matrix metalloproteinase-7; MMP-7; Pump-1 protease; Uterine metalloproteinase
Entrez Gene (Human):
4316;
SwissProt (Human):
P09237;
Storage/Stability:Shipped at 4°C. Upon delivery aliquot and store at -20°C for one year. Avoid freeze/thaw cycles.
-
Western blot analysis of MMP7 expression in A375 (A), A549 (B), PMVEC (C), mouse lung (D) whole cell lysates. (Predicted band size: 29 kD; Observed band size: 22 kD) -
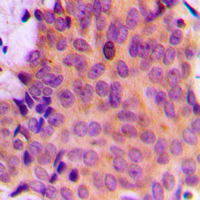
Immunohistochemical analysis of MMP7 staining in human breast cancer formalin fixed paraffin embedded tissue section. The section was pre-treated using heat mediated antigen retrieval with sodium citrate buffer (pH 6.0). The section was then incubated with the antibody at room temperature and detected using an HRP conjugated compact polymer system. DAB was used as the chromogen. The section was then counterstained with haematoxylin and mounted with DPX.


Datasheet
MSDS