Description:Rabbit polyclonal antibody to MC4 ReceptorImmunogen:KLH-conjugated synthetic peptide encompassing a sequence within the C-term region of human MC4 Receptor. The exact sequence is proprietary.Purification:The antibody was purified by immunogen affinity chromatography.Clonality:PolyclonalForm:Liquid in 0.42% Potassium phosphate, 0.87% Sodium chloride, pH 7.3, 30% glycerol, and 0.01% sodium azide.Dilution:WB (1/500 - 1/1000), IH (1/100 - 1/200)Gene Symbol:MC4RAlternative Names:Melanocortin receptor 4; MC4-R
Entrez Gene (Human):
4160;
Entrez Gene (Mouse):
17202;
Entrez Gene (Rat):
25635;
SwissProt (Human):
P32245;
SwissProt (Mouse):
P56450;
SwissProt (Rat):
P70596;
Storage/Stability:Shipped at 4°C. Upon delivery aliquot and store at -20°C for one year. Avoid freeze/thaw cycles.
-
Western blot analysis of MC4 Receptor expression in mouse brain (A) whole cell lysates. (Predicted band size: 36 kD; Observed band size: 37 kD) -
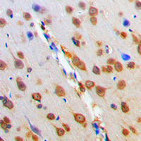
Immunohistochemical analysis of MC4 Receptor staining in human brain formalin fixed paraffin embedded tissue section. The section was pre-treated using heat mediated antigen retrieval with sodium citrate buffer (pH 6.0). The section was then incubated with the antibody at room temperature and detected using an HRP conjugated compact polymer system. DAB was used as the chromogen. The section was then counterstained with haematoxylin and mounted with DPX.
Agouti Signaling Protein and Its Receptors as Potential Molecular Markers for Intramuscular and Body Fat Deposition in Cattle


Datasheet
MSDS