Description:Rabbit polyclonal antibody to Kir3.3Immunogen:KLH-conjugated synthetic peptide encompassing a sequence within the center region of human Kir3.3. The exact sequence is proprietary.Purification:The antibody was purified by immunogen affinity chromatography.Clonality:PolyclonalForm:Liquid in 0.42% Potassium phosphate, 0.87% Sodium chloride, pH 7.3, 30% glycerol, and 0.01% sodium azide.Dilution:WB (1/500 - 1/1000), IH (1/100 - 1/200)Gene Symbol:KCNJ9Alternative Names:GIRK3; G protein-activated inward rectifier potassium channel 3; GIRK-3; Inward rectifier K(+) channel Kir3.3; Potassium channel, inwardly rectifying subfamily J member 9
Entrez Gene (Human):
3765;
Entrez Gene (Mouse):
16524;
Entrez Gene (Rat):
116560;
SwissProt (Human):
Q92806;
SwissProt (Mouse):
P48543;
SwissProt (Rat):
Q63511;
Storage/Stability:Shipped at 4°C. Upon delivery aliquot and store at -20°C for one year. Avoid freeze/thaw cycles.
-
Western blot analysis of Kir3.3 expression in rat brain (A) whole cell lysates. (Predicted band size: 44 kD; Observed band size: 48 kD) -
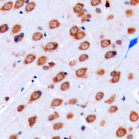
Immunohistochemical analysis of Kir3.3 staining in human brain formalin fixed paraffin embedded tissue section. The section was pre-treated using heat mediated antigen retrieval with sodium citrate buffer (pH 6.0). The section was then incubated with the antibody at room temperature and detected using an HRP conjugated compact polymer system. DAB was used as the chromogen. The section was then counterstained with haematoxylin and mounted with DPX.


Datasheet
MSDS