Description:Rabbit polyclonal antibody to c-JunImmunogen:KLH-conjugated synthetic peptide encompassing a sequence within the center region of human c-Jun. The exact sequence is proprietary.Purification:The antibody was purified by immunogen affinity chromatography.Clonality:PolyclonalForm:Liquid in 0.42% Potassium phosphate, 0.87% Sodium chloride, pH 7.3, 30% glycerol, and 0.01% sodium azide.Dilution:WB (1/500 - 1/1000), IH (1/100 - 1/200)Gene Symbol:JUN; JUNDAlternative Names:JUN; Transcription factor AP-1; Activator protein 1; AP1; Proto-oncogene c-Jun; V-jun avian sarcoma virus 17 oncogene homolog; p39; JUND; Transcription factor jun-D
Entrez Gene (Human):
3725;
3727;
Entrez Gene (Mouse):
16476;
16478;
Entrez Gene (Rat):
24516;
24518;
SwissProt (Human):
P05412;
P17535;
SwissProt (Mouse):
P05627;
P15066;
SwissProt (Rat):
P17325;
P52909;
Storage/Stability:Shipped at 4°C. Upon delivery aliquot and store at -20°C for one year. Avoid freeze/thaw cycles.
-
Western blot analysis of c-Jun expression in HEK293T (A), H1688 (B) whole cell lysates. (Predicted band size: 35 kD; Observed band size: 48 kD) -
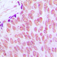
Immunohistochemical analysis of c-Jun staining in human breast cancer formalin fixed paraffin embedded tissue section. The section was pre-treated using heat mediated antigen retrieval with sodium citrate buffer (pH 6.0). The section was then incubated with the antibody at room temperature and detected using an HRP conjugated compact polymer system. DAB was used as the chromogen. The section was then counterstained with haematoxylin and mounted with DPX.


Datasheet
MSDS