Description:Rabbit polyclonal antibody to c-Jun (Phospho-Y170)Immunogen:KLH-conjugated synthetic phosphopeptide corresponding to residues surrounding Y170 of human c-Jun protein. The exact sequence is proprietary.Purification:The antibody was purified by immunogen affinity chromatography.Clonality:PolyclonalForm:Liquid in 0.42% Potassium phosphate, 0.87% Sodium chloride, pH 7.3, 30% glycerol, and 0.01% sodium azide.Dilution:WB (1/500 - 1/1000), IH (1/50 - 1/100)Gene Symbol:JUNAlternative Names:Transcription factor AP-1; Activator protein 1; AP1; Proto-oncogene c-Jun; V-jun avian sarcoma virus 17 oncogene homolog; p39
Entrez Gene (Human):
3725;
Entrez Gene (Mouse):
16476;
Entrez Gene (Rat):
24516;
SwissProt (Human):
P05412;
SwissProt (Mouse):
P05627;
SwissProt (Rat):
P17325;
Storage/Stability:Shipped at 4°C. Upon delivery aliquot and store at -20°C for one year. Avoid freeze/thaw cycles.
-
Western blot analysis of c-Jun (Phospho-Y170) expression in Hela (A), mouse kidney (B) whole cell lysates. (Predicted band size: 35 kD; Observed band size: 43 kD) -
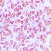
Immunohistochemical analysis of c-Jun (Phospho-Y170) staining in human breast cancer formalin fixed paraffin embedded tissue section. The section was pre-treated using heat mediated antigen retrieval with sodium citrate buffer (pH 6.0). The section was then incubated with the antibody at room temperature and detected using an HRP conjugated compact polymer system. DAB was used as the chromogen. The section was then counterstained with haematoxylin and mounted with DPX.


Datasheet
MSDS