Description:Rabbit polyclonal antibody to IFN gammaImmunogen:KLH-conjugated synthetic peptide encompassing a sequence within the center region of human IFN gamma. The exact sequence is proprietary.Purification:The antibody was purified by immunogen affinity chromatography.Clonality:PolyclonalForm:Liquid in 0.42% Potassium phosphate, 0.87% Sodium chloride, pH 7.3, 30% glycerol, and 0.01% sodium azide.Dilution:WB (1/500 - 1/1000), IH (1/50 - 1/100)Gene Symbol:IFNGAlternative Names:Interferon gamma; IFN-gamma; Immune interferon
Entrez Gene (Human):
3458;
Entrez Gene (Mouse):
15978;
Entrez Gene (Rat):
25712;
SwissProt (Human):
P01579;
SwissProt (Mouse):
P01580;
SwissProt (Rat):
P01581;
Storage/Stability:Shipped at 4°C. Upon delivery aliquot and store at -20°C for one year. Avoid freeze/thaw cycles.
-
Western blot analysis of IFN gamma expression in HEK293T (A), Hela (B), A549 (C), mouse lung (D), mouse testis (E), rat lung (F), rat testis (G) whole cell lysates. (Predicted band size: 19 kD; Observed band size: 24 kD) -
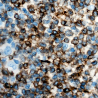
Immunohistochemical analysis of IFN gamma staining in human lymph node formalin fixed paraffin embedded tissue section. The section was pre-treated using heat mediated antigen retrieval with sodium citrate buffer (pH 6.0). The section was then incubated with the antibody at room temperature and detected using an HRP conjugated compact polymer system. DAB was used as the chromogen. The section was then counterstained with haematoxylin and mounted with DPX.
Excretory/secretory antigens from Trichinella spiralis muscle larvae ameliorate HFD-induced non-alcoholic steatohepatitis via driving macrophage anti-inflammatory activity
Bifidobacterium boosts anti-PD-1 effectiveness through JAK pathway in hepatocellular carcinoma


Datasheet
MSDS