Description:Rabbit polyclonal antibody to MART-1Immunogen:KLH-conjugated synthetic peptide encompassing a sequence within the center region of human MART-1. The exact sequence is proprietary.Purification:The antibody was purified by immunogen affinity chromatography.Clonality:PolyclonalForm:Liquid in 0.42% Potassium phosphate, 0.87% Sodium chloride, pH 7.3, 30% glycerol, and 0.01% sodium azide.Dilution:WB (1/500 - 1/1000), IH (1/100 - 1/200)Gene Symbol:MLANAAlternative Names:MART1; Melanoma antigen recognized by T-cells 1; MART-1; Antigen LB39-AA; Antigen SK29-AA; Protein Melan-A
Entrez Gene (Human):
2315;
SwissProt (Human):
Q16655;
Storage/Stability:Shipped at 4°C. Upon delivery aliquot and store at -20°C for one year. Avoid freeze/thaw cycles.
-
Western blot analysis of MART-1 expression in HeLa (A), A431 (B), WERI (C) whole cell lysates. (Predicted band size: 13 kD; Observed band size: 19 kD) -
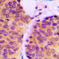
Immunohistochemical analysis of MART-1 staining in human breast cancer formalin fixed paraffin embedded tissue section. The section was pre-treated using heat mediated antigen retrieval with sodium citrate buffer (pH 6.0). The section was then incubated with the antibody at room temperature and detected using an HRP conjugated compact polymer system. DAB was used as the chromogen. The section was then counterstained with haematoxylin and mounted with DPX.


Datasheet
MSDS