Description:Rabbit polyclonal antibody to Cytochrome P450 4A11/22Immunogen:KLH-conjugated synthetic peptide encompassing a sequence within the center region of human Cytochrome P450 4A11/22. The exact sequence is proprietary.Purification:The antibody was purified by immunogen affinity chromatography.Clonality:PolyclonalForm:Liquid in 0.42% Potassium phosphate, 0.87% Sodium chloride, pH 7.3, 30% glycerol, and 0.01% sodium azide.Dilution:WB (1/500 - 1/1000), IH (1/50 - 1/100)Gene Symbol:CYP4A11; CYP4A22Alternative Names:CYP4A11; CYP4A2; Cytochrome P450 4A11; 20-hydroxyeicosatetraenoic acid synthase; 20-HETE synthase; CYP4AII; CYPIVA11; Cytochrome P-450HK-omega; Cytochrome P450HL-omega; Fatty acid omega-hydroxylase; Lauric acid omega-hydroxylase; CYP4A22; Cytochrome P450 4A22; CYPIVA22; Fatty acid omega-hydroxylase; Lauric acid omega-hydroxylase
Entrez Gene (Human):
1579;
284541;
SwissProt (Human):
Q02928;
Q5TCH4;
Storage/Stability:Shipped at 4°C. Upon delivery aliquot and store at -20°C for one year. Avoid freeze/thaw cycles.
-
Western blot analysis of Cytochrome P450 4A11/22 expression in U2OS (A), DLD (B), mouse liver (C), mouse kidney (D), rat liver (E), rat kidney (F) whole cell lysates. (Predicted band size: 59 kD; Observed band size: 59 kD) -
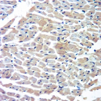
Immunohistochemical analysis of Cytochrome P450 4A11/22 staining in rat heart formalin fixed paraffin embedded tissue section. The section was pre-treated using heat mediated antigen retrieval with sodium citrate buffer (pH 6.0). The section was then incubated with the antibody at room temperature and detected using an HRP conjugated compact polymer system. DAB was used as the chromogen. The section was then counterstained with haematoxylin and mounted with DPX.


Datasheet
MSDS