Description:Rabbit polyclonal antibody to Cathepsin BImmunogen:KLH-conjugated synthetic peptide encompassing a sequence within the center region of human Cathepsin B. The exact sequence is proprietary.Purification:The antibody was purified by immunogen affinity chromatography.Clonality:PolyclonalForm:Liquid in 0.42% Potassium phosphate, 0.87% Sodium chloride, pH 7.3, 30% glycerol, and 0.01% sodium azide.Dilution:WB (1/500 - 1/1000), IH (1/50 - 1/100), IF/IC (1/50 - 1/200)Gene Symbol:CTSBAlternative Names:CPSB; Cathepsin B; APP secretase; APPS; Cathepsin B1
Entrez Gene (Human):
1508;
SwissProt (Human):
P07858;
Storage/Stability:Shipped at 4°C. Upon delivery aliquot and store at -20°C for one year. Avoid freeze/thaw cycles.
-
Western blot analysis of Cathepsin B expression in A549 (A), HCT116 (B) whole cell lysates. (Predicted band size: 37 kD; Observed band size: 40; 30; 25 kD) -
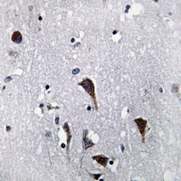
Immunohistochemical analysis of Cathepsin B staining in human brain formalin fixed paraffin embedded tissue section. The section was pre-treated using heat mediated antigen retrieval with sodium citrate buffer (pH 6.0). The section was then incubated with the antibody at room temperature and detected using an HRP conjugated compact polymer system. DAB was used as the chromogen. The section was then counterstained with haematoxylin and mounted with DPX. -
Immunofluorescent analysis of Cathepsin B staining in BV2 cells. Formalin-fixed cells were permeabilized with 0.1% Triton X-100 in TBS for 5-10 minutes and blocked with 3% BSA-PBS for 30 minutes at room temperature. Cells were probed with the primary antibody in 3% BSA-PBS and incubated overnight at 4 °C in a hidified chamber. Cells were washed with PBST and incubated with a AF488-conjugated secondary antibody (green) in PBS at room temperature in the dark. Phalloidin - AF594 was used to stain Actin filaments (red). DAPI was used to stain the cell nuclei (blue).


Datasheet
MSDS