Description:Rabbit polyclonal antibody to Collagen 3 alpha 1Immunogen:KLH-conjugated synthetic peptide encompassing a sequence within the C-term region of human Collagen 3 alpha 1. The exact sequence is proprietary.Purification:The antibody was purified by immunogen affinity chromatography.Clonality:PolyclonalForm:Liquid in 0.42% Potassium phosphate, 0.87% Sodium chloride, pH 7.3, 30% glycerol, and 0.01% sodium azide.Dilution:WB (1/500 - 1/1000), IH (1/50 - 1/100)Gene Symbol:COL3A1Alternative Names:Collagen alpha-1(III) chain
Entrez Gene (Human):
1281;
Entrez Gene (Mouse):
12825;
Entrez Gene (Rat):
84032;
SwissProt (Human):
P02461;
SwissProt (Mouse):
P08121;
SwissProt (Rat):
P13941;
Storage/Stability:Shipped at 4°C. Upon delivery aliquot and store at -20°C for one year. Avoid freeze/thaw cycles.
-
Western blot analysis of Collagen 3 alpha 1 expression in mouse lung (A), rat lung (B) whole cell lysates. (Predicted band size: 138 kD; Observed band size: 139 kD) -
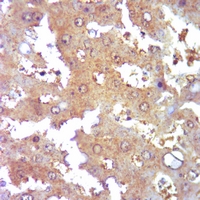
Immunohistochemical analysis of Collagen 3 alpha 1 staining in human liver cancer formalin fixed paraffin embedded tissue section. The section was pre-treated using heat mediated antigen retrieval with sodium citrate buffer (pH 6.0). The section was then incubated with the antibody at room temperature and detected using an HRP conjugated compact polymer system. DAB was used as the chromogen. The section was then counterstained with haematoxylin and mounted with DPX.


Datasheet
MSDS