Description:Rabbit polyclonal antibody to IKK alphaImmunogen:KLH-conjugated synthetic peptide encompassing a sequence within the N-term region of human IKK alpha. The exact sequence is proprietary.Purification:The antibody was purified by immunogen affinity chromatography.Clonality:PolyclonalForm:Liquid in 0.42% Potassium phosphate, 0.87% Sodium chloride, pH 7.3, 30% glycerol, and 0.01% sodium azide.Dilution:WB (1/500 - 1/1000), IH (1/100 - 1/200)Gene Symbol:CHUKAlternative Names:IKKA; TCF16; Inhibitor of nuclear factor kappa-B kinase subunit alpha; I-kappa-B kinase alpha; IKK-A; IKK-alpha; IkBKA; IkappaB kinase; Conserved helix-loop-helix ubiquitous kinase; I-kappa-B kinase 1; IKK1; Nuclear factor NF-kappa-B inhibitor kinase alpha; NFKBIKA; Transcription factor 16; TCF-16
Entrez Gene (Human):
1147;
Entrez Gene (Mouse):
12675;
SwissProt (Human):
O15111;
SwissProt (Mouse):
Q60680;
Storage/Stability:Shipped at 4°C. Upon delivery aliquot and store at -20°C for one year. Avoid freeze/thaw cycles.
-
Western blot analysis of IKK alpha expression in SGC7901 (A), SKOVCAR3 (B), A549 (C) whole cell lysates. (Predicted band size: 84 kD; Observed band size: 85 kD) -
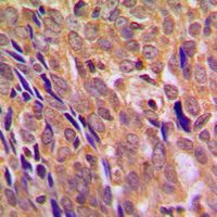
Immunohistochemical analysis of IKK alpha staining in human breast cancer formalin fixed paraffin embedded tissue section. The section was pre-treated using heat mediated antigen retrieval with sodium citrate buffer (pH 6.0). The section was then incubated with the antibody at room temperature and detected using an HRP conjugated compact polymer system. DAB was used as the chromogen. The section was then counterstained with haematoxylin and mounted with DPX.


Datasheet
MSDS