Description:Rabbit polyclonal antibody to c-CBL (Phospho-Y674)Immunogen:KLH-conjugated synthetic phosphopeptide corresponding to residues surrounding Y674 of human c-CBL protein. The exact sequence is proprietary.Purification:The antibody was purified by immunogen affinity chromatography.Clonality:PolyclonalForm:Liquid in 0.42% Potassium phosphate, 0.87% Sodium chloride, pH 7.3, 30% glycerol, and 0.01% sodium azide.Dilution:WB (1/500 - 1/1000), IH (1/100 - 1/200)Gene Symbol:CBLAlternative Names:CBL2; RNF55; E3 ubiquitin-protein ligase CBL; Casitas B-lineage lymphoma proto-oncogene; Proto-oncogene c-Cbl; RING finger protein 55; Signal transduction protein CBL
Entrez Gene (Human):
867;
Entrez Gene (Mouse):
12402;
SwissProt (Human):
P22681;
SwissProt (Mouse):
P22682;
Storage/Stability:Shipped at 4°C. Upon delivery aliquot and store at -20°C for one year. Avoid freeze/thaw cycles.
-
Western blot analysis of c-CBL (Phospho-Y674) expression in HeLa EGF-treated (A), mouse liver (B), rat liver (C) whole cell lysates. (Predicted band size: 99 kD; Observed band size: 120 kD) -
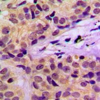
Immunohistochemical analysis of c-CBL (Phospho-Y674) staining in human cervical cancer formalin fixed paraffin embedded tissue section. The section was pre-treated using heat mediated antigen retrieval with sodium citrate buffer (pH 6.0). The section was then incubated with the antibody at room temperature and detected using an HRP conjugated compact polymer system. DAB was used as the chromogen. The section was then counterstained with haematoxylin and mounted with DPX.
Novel oncogenic mutations of CBL in human acute myeloid leukemia that activate growth and survival pathways depend on increased metabolism


Datasheet
MSDS