Description:Rabbit polyclonal antibody to RBATImmunogen:Recombinant full length protein of human RBATPurification:The antibody was purified by immunogen affinity chromatography.Clonality:PolyclonalForm:Liquid in 0.42% Potassium phosphate, 0.87% Sodium chloride, pH 7.3, 30% glycerol, and 0.01% sodium azide.Dilution:WB (1/500 - 1/1000), IH (1/50 - 1/200)Gene Symbol:SLC3A1Alternative Names:RBAT; Neutral and basic amino acid transport protein rBAT; NBAT; D2h; Solute carrier family 3 member 1; b(0,+)-type amino acid transport protein
Entrez Gene (Human):
6519;
Entrez Gene (Rat):
29484;
SwissProt (Human):
Q07837;
SwissProt (Mouse):
Q91WV7;
SwissProt (Rat):
Q64319;
Storage/Stability:Shipped at 4°C. Upon delivery aliquot and store at -20°C for one year. Avoid freeze/thaw cycles.
-
Western blot analysis of RBAT expression in HT29 (A), HepG2 (B), PC12 (C), mouse liver (D) whole cell lysates. (Predicted band size: 35; 45; 46; 57; 63; 65; 78 kD; Observed band size: 79 kD) -
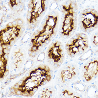
Immunohistochemical analysis of RBAT staining in rat kidney formalin fixed paraffin embedded tissue section. The section was pre-treated using heat mediated antigen retrieval with sodium citrate buffer (pH 6.0). The section was then incubated with the antibody at room temperature and detected using an HRP conjugated compact polymer system. DAB was used as the chromogen. The section was then counterstained with haematoxylin and mounted with DPX.


Datasheet
MSDS